平湖在线


广告合作:0573-85556666
  • 12431阅读
  • 6回复

“啪”!平湖一男子掰手腕太用力竟把手掰断……且掰且珍惜! [复制链接]

上一主题 下一主题
 

发帖
189
金钱
256
威望
20
注册时间
2009-08-17
最后登录
2017-08-08
只看楼主 倒序阅读 使用道具 0 发表于: 2017-07-21 09:04:41 , 来自:浙江省嘉兴市

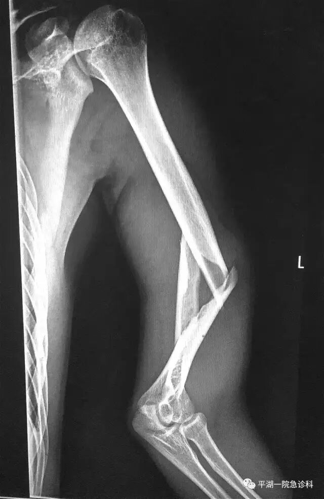
  昨晚19:00左右,一位小伙子抱着左臂来看平湖人民医院看急诊,只见小伙子满头大汗,表情痛苦,左臂畸形,左臂碰也碰不得。

小伙子说,因为跟小伙伴掰手腕,猛发力,结果“啪”一声,就这样了!

X线摄片检查:

掰手腕真的会导致骨折?

        当发生骨折时,伤者自己往往会听到“啪”的断裂声,同时感到上臂剧烈疼痛,手无力,骨折处出现肿胀。此外,由于桡骨神经紧贴者肱骨种下段下行,所以此处骨折还会引起桡神经损伤这一严重的并发症,表现为手腕下垂不能抬起,手指不能背伸,拇指不能上翘起作“顶呱呱”的示意动作,手臂桡侧皮肤感觉迟钝。

  掰手腕尤其在男性青少年中很盛行,如果准备活动不充分、关节肌肉突然用力,或为了战胜对方,突然“先发制人”将对方腕部猛然扳倒,或者不甘认输,又竭尽全力急起翻腕,在这些情况下均可造成骨折。

  上臂有个不牢靠的“焊接点”,掰手腕骨折,这种情况确实有可能发生掰手腕所致的骨折多为肱骨骨折,其中以肱骨中下段螺旋形骨折最常见。人的上臂就一根典型的长骨,叫肱骨,在肱骨靠近肘关节上方3~4cm内,有一个圆柱形和不规则扁平骨的结合点,像一个“焊接点”。这个“焊接点”骨质少,比较脆弱,在医学上叫做肱骨髁。我们拎东西时,力量向下,受力方向和肱骨方向一致,肱骨髁可以承受比较大的力量。但掰手腕时,肱骨髁承受的是一种折的力量,医学上称为剪切力。肱骨髁承受剪切力的能力很弱,如果掰手腕时,使力的方向和姿势不对,很容易造成骨折。

  掰手腕势均力敌时更易骨折 ,一般情况下,如果掰手腕的两个人,力量比较悬殊,骨折的情况倒不容易发生,因为很快就见了分晓。但如果两人势均力敌的相持阶段,骨头受的挤压比较厉害一方要想扳倒对方,而需在瞬间发出超过对方数倍的爆发力进行突然袭击,这时若遇到对方同等力量的抗衡时,处于扭转力相会点的肱骨下段在这种突然力量的冲击下,另一方无法承受,就容易发生骨折。

 损伤后,应请专科医生进行仔细检查,确诊后手法整复,在有效固定前提下,配合功能锻炼,以促进骨折断端愈合。急性期疼痛剧烈者,可用绷带(最好是弹力绷带)包扎在前臂中上段,可以缓解疼痛。局部肿胀严重者,外敷活血祛痕、消肿止痛药膏。如果在掰手腕过后出现红肿等异常,请及时就医。

  虽然掰手腕大家都喜欢,方法又简单易行,到处都可以进行比赛,但容易发生骨折,尤其对于正处于生长发育时期的青少年玩这种游戏危险性更大。 对于骨质疏松的人、年龄大的人或正在发育的青少年,尽量不要进行此项活动,最好不要做掰手腕这类游戏,即便是做,掰手腕前一定要做好热身运动。一定要注意量力而行,不要太勉强,一味“蛮干”,以免出现意外。为了安全和健康起见,在青少年中不宜提倡掰手腕。

来源:平湖一院急诊科

4条评分威望+4
燚燚 威望 +1 - 2017-07-22
俺是退伍兵 威望 +1 - 2017-07-22
冬小瓜 威望 +1 - 2017-07-22
三个心愿 威望 +1 - 2017-07-21

发帖
898
金钱
212
威望
134
注册时间
2014-05-21
最后登录
2024-10-31
只看该作者 1 发表于: 2017-07-21 11:31:11 , 来自:鏈煡IP
想想都疼
tyy

发帖
9981
金钱
6932
威望
468
注册时间
2006-08-08
最后登录
2024-07-16
只看该作者 2 发表于: 2017-07-21 12:04:26 , 来自:重庆市
且掰且珍惜

发帖
16
金钱
18
威望
13
注册时间
2016-10-27
最后登录
2025-05-27
只看该作者 3 发表于: 2017-07-22 18:25:33 , 来自:浙江省嘉兴市
 
不小心点到赞了,无法取消

发帖
16
金钱
18
威望
13
注册时间
2016-10-27
最后登录
2025-05-27
只看该作者 4 发表于: 2017-07-22 18:26:17 , 来自:浙江省嘉兴市
 
不小心点到赞了

发帖
1716
金钱
7447
威望
68
注册时间
2011-12-16
最后登录
2024-05-26
只看该作者 5 发表于: 2017-07-22 21:11:26 , 来自:浙江省嘉兴市
掰手腕太用力把手掰断的例子蛮多的

发帖
64
金钱
74
威望
20
注册时间
2017-07-02
最后登录
2018-01-16
只看该作者 6 发表于: 2017-07-23 09:43:18 , 来自:鏈煡IP
厉害了 我的哥
快速回复
限80 字节
 
上一个 下一个